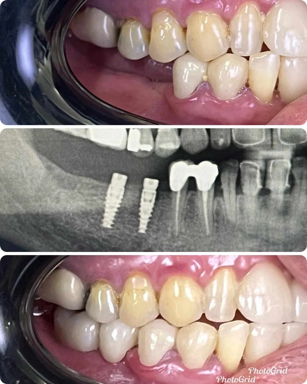
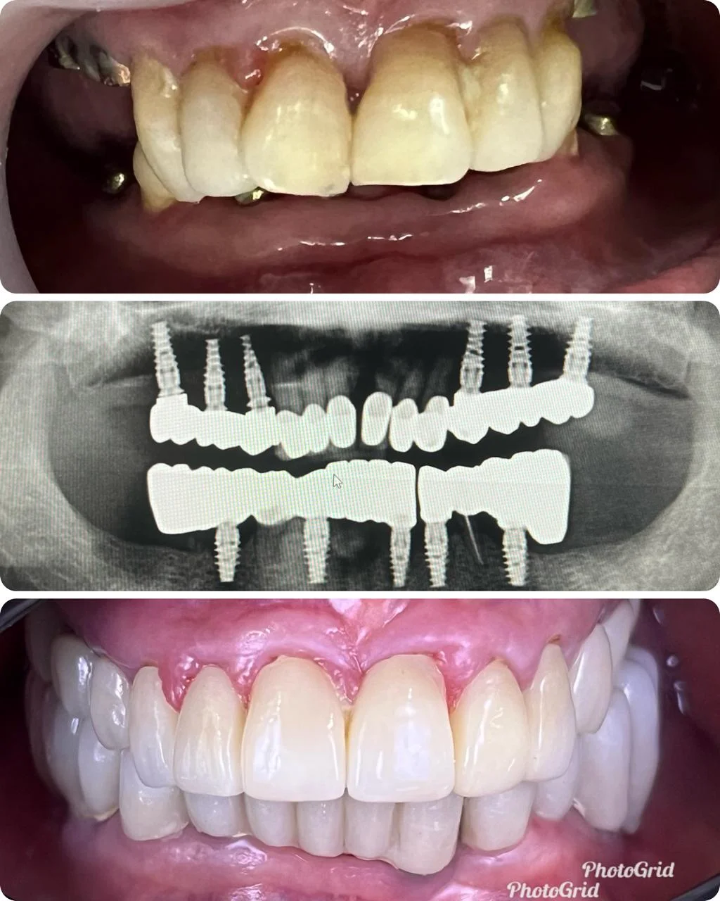
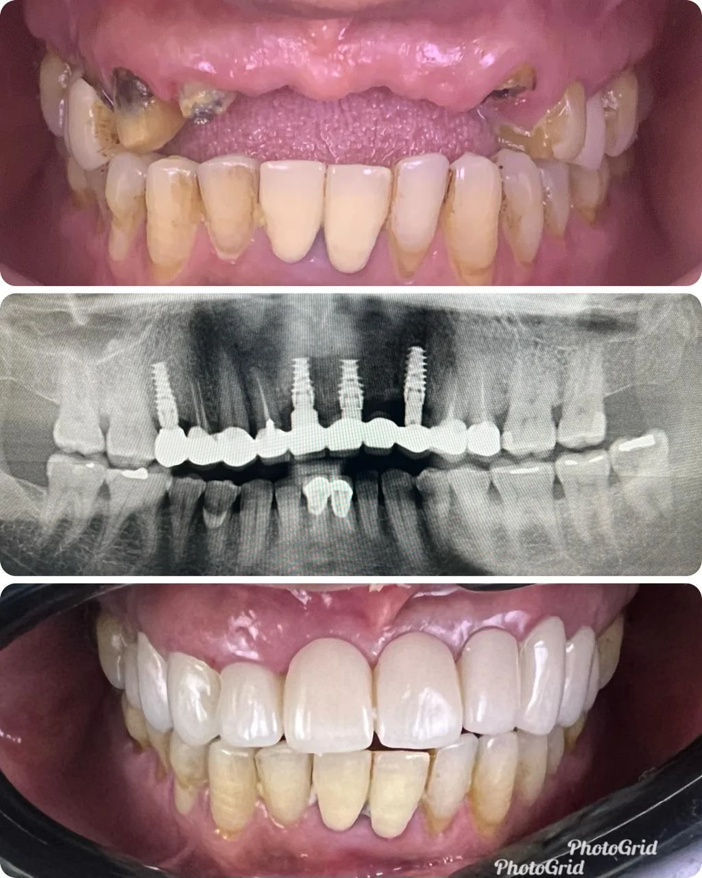
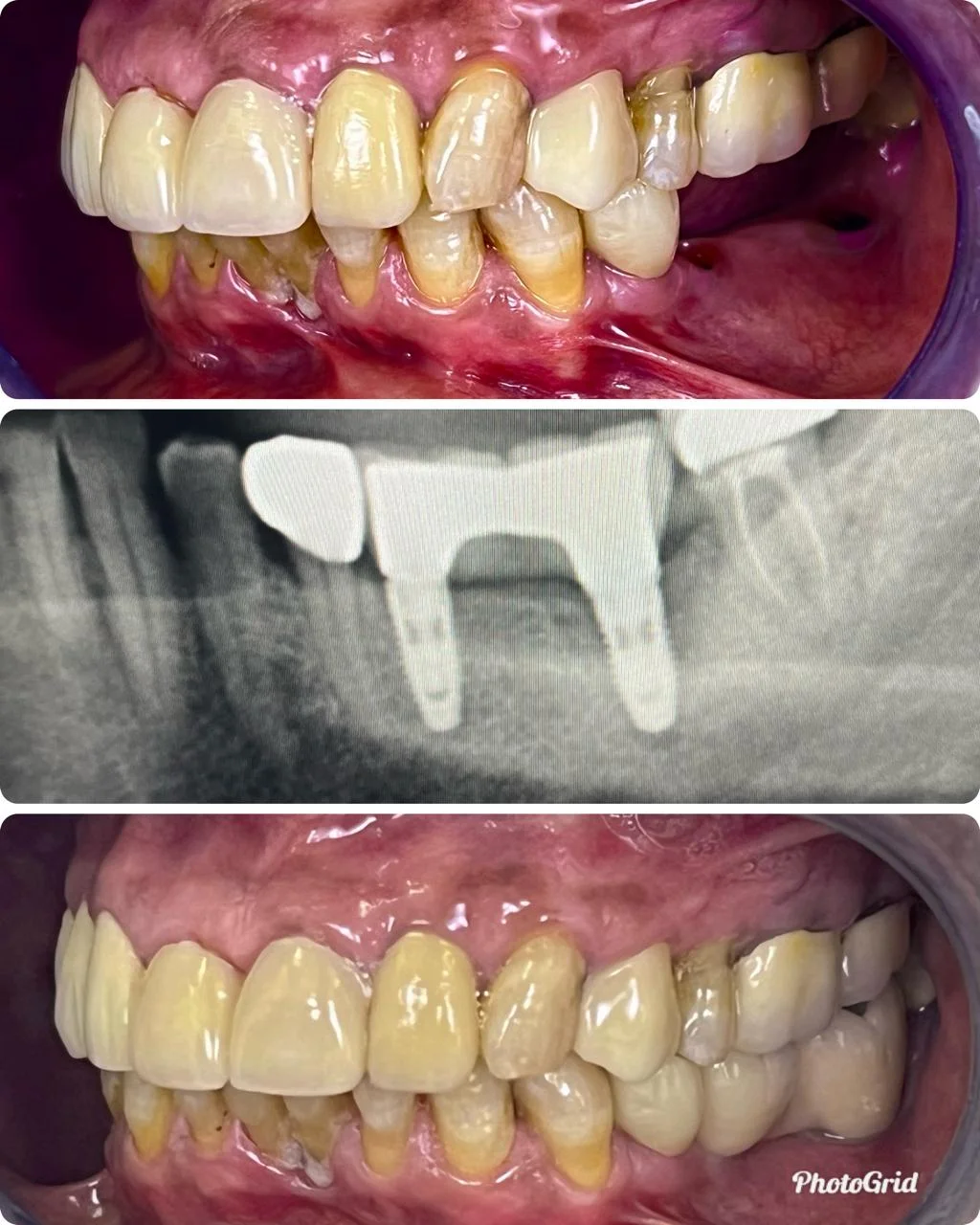
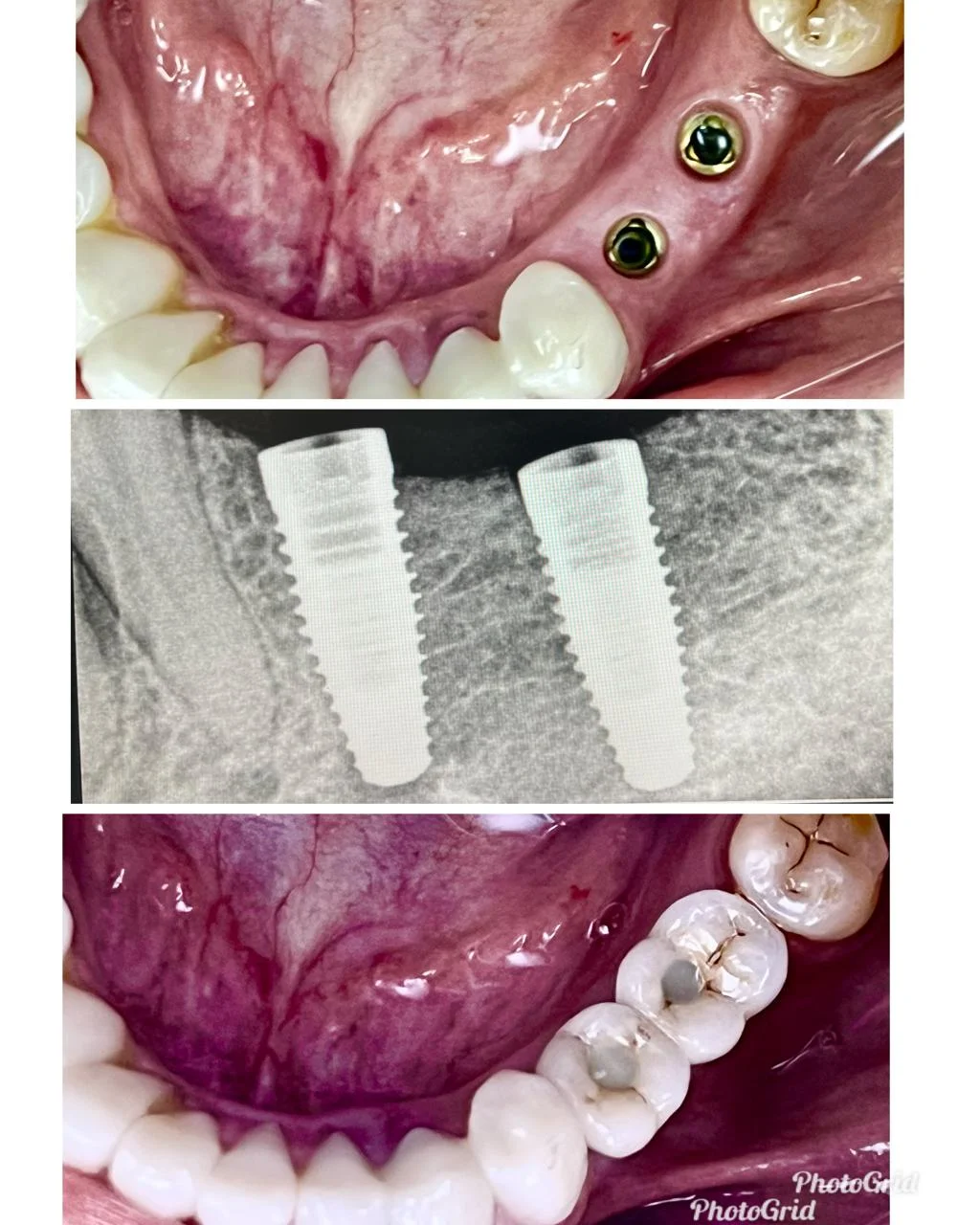
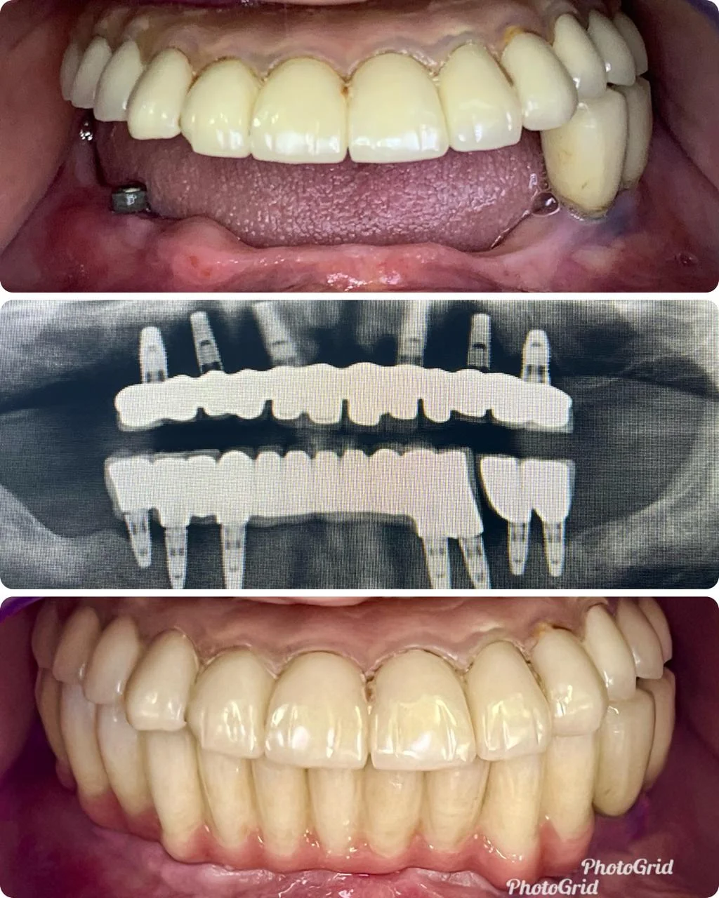
Why Dental Implants Are Important
They Preserve Your Smile
Dental implants consist of three key parts- the fixture, the abutment, and the dental prosthesis. These components mimic natural teeth, preventing bone loss and averting the shifting of adjacent teeth. By filling in gaps, implants safeguard your smile and prevent further tooth loss.
Restores Chewing Functionality
Imagine enjoying your favourite foods without worry. Dental implants enable you to chew with confidence, ensuring proper digestion and nutrient absorption. With implants, you can savour every bite just like you would with natural teeth, enhancing your overall quality of life.
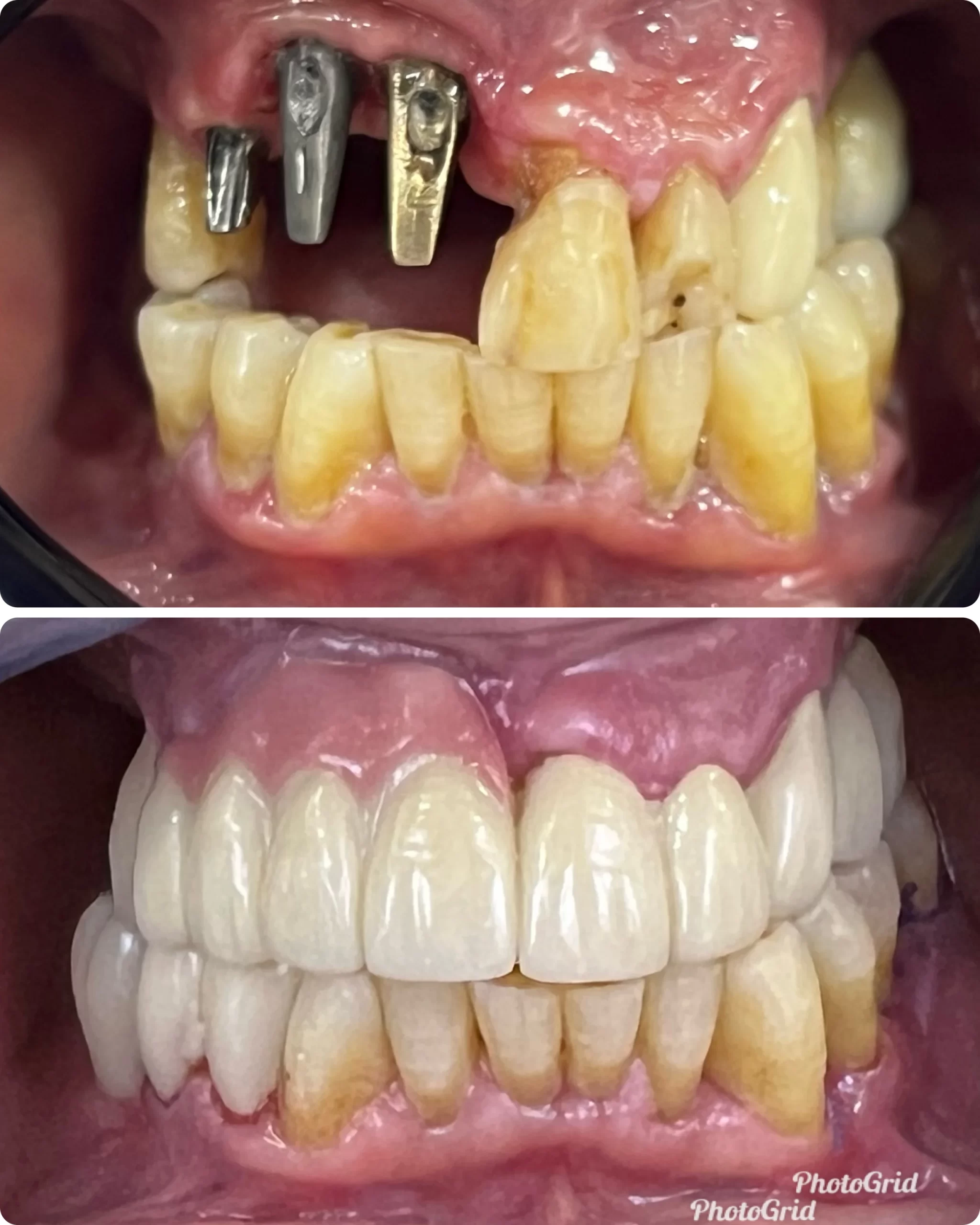
Boosts Confidence And Speech
Beyond physical health benefits, dental implants significantly enhance self-confidence. Implants provide a natural-looking, secure solution that restores your appearance and improves speech clarity. Unlike dentures, implants stay firmly in place, eliminating concerns about slipping or discomfort.
Economical Solution In The Long Run
Dental implants offer exceptional comfort and durability, with a success rate of up to 98%. However, success rates may vary based on implant location within the jaw. The overall cost for a long term maintenance of a ceramic bridge may need future root canals treatment and post n core, thereby increasing the cost exponentially.
About Dr. Puneet Kathuria
One Of The Best Implantologist In Delhi, India
Dr. Puneet Kathuria, acclaimed as one of the best dental implantologists in Delhi, has spent over 26 years honing his craft in full mouth rehabilitation and dental implants. Renowned for delivering the best dental implants in Delhi, his clinic serves as a beacon of excellence in South Delhi, attracting patients from 40 countries seeking the finest teeth implants. Dr. Kathuria’s personalized approach and international reputation ensure each patient receives meticulous care, combining cutting-edge techniques with a warm and inviting atmosphere. Beyond providing exceptional dental treatment, Dr. Kathuria’s clinic offers patients the chance to explore the vibrant cultural landscape of Delhi, making their dental journey a holistic experience of healing and discovery.
Why Choose Us
Experienced Team
At Dr. Kathuria's Dentistry, our team of highly qualified professionals brings decades of combined experience to the table. With specialized expertise in Dental Implants & Crowns & bridges,& other wide range of dental disciplines, our specialist team ensure the highest standards of care and precision in every treatment.
Cases Done
Proudly serving the community for over 26 years, Dr. Kathuria's Dentistry has successfully handled more than 20 thousand+ complex dental cases. Each treatment is a testament to our commitment to excellence and our deep understanding of dental aesthetics and function.
Trainer & Mentor
Dr. Kathuria is not only a practitioner but also a revered trainer and mentor in the dental community with an experience of over 1000+ presentations & training sessions for fellow dentists. Leading by example, he imparts cutting-edge techniques to budding dentists globally, enhancing the quality of dental care through education and innovation
Cutting Edge Technology
Our clinic is equipped with the latest in dental technology, enabling us to provide minimally invasive and more comfortable treatments. From digital imaging to advanced CAD CAM Cerec technology, we utilize top-tier tools to deliver precise and effective dental care. We adhere to 4 Tier strict sterilization protocols to ensure a hygienic and safe environment
Best Google Reviews
Dr. Kathuria's Dentistry is highly rated on Google, reflecting our commitment to excellence in patient care. Our reviews showcase real patient experiences and satisfaction, highlighting our clinic as a top choice for reliable and effective dental solutions in South Delhi.
Value For Money
At Dr. Kathuria's Dentistry, we prioritize exceptional dental care that's transparent in pricing, ensuring affordability without compromising quality. Recognized for our commitment to providing great value for your investment, we offer accessible dental excellence for everyone, including tooth implant cost in Delhi and dental implant cost considerations. With our unwavering dedication to transparency, patients can trust in our services knowing they're receiving top-notch treatment without any hidden fees.
Experienced Team
At Dr. Kathuria's Dentistry, our team of highly qualified professionals brings decades of combined...
At Dr. Kathuria's Dentistry, our team of highly qualified professionals brings decades of combined experience to the table. With specialized expertise in Dental Implants & Crowns & bridges,& other wide range of dental disciplines, our specialist team ensure the highest standards of care and precision in every treatment.
Cases Done
Proudly serving the community for over 26 years, Dr. Kathuria's Dentistry has successfully handled more than...
Proudly serving the community for over 26 years, Dr. Kathuria's Dentistry has successfully handled more than 20 thousand+ complex dental cases. Each treatment is a testament to our commitment to excellence and our deep understanding of dental aesthetics and function.
Cutting Edge Technology
Our clinic is equipped with the latest in dental technology, enabling us to provide minimally invasive...
Our clinic is equipped with the latest in dental technology, enabling us to provide minimally invasive and more comfortable treatments. From digital imaging to advanced CAD CAM Cerec technology, we utilize top-tier tools to deliver precise and effective dental care. We adhere to 4 Tier strict sterilization protocols to ensure a hygienic and safe environment
Best Google Reviews
Dr. Kathuria's Dentistry is highly rated on Google, reflecting our commitment to excellence in patient care...
Dr. Kathuria's Dentistry is highly rated on Google, reflecting our commitment to excellence in patient care. Our reviews showcase real patient experiences and satisfaction, highlighting our clinic as a top choice for reliable and effective dental solutions in South Delhi.
Trainer & Mentor
Dr. Kathuria is not only a practitioner but also a revered trainer and mentor in the dental community...
Dr. Kathuria is not only a practitioner but also a revered trainer and mentor in the dental community with an experience of over 1000+ presentations & training sessions for fellow dentists. Leading by example, he imparts cutting-edge techniques to budding dentists globally, enhancing the quality of dental care through education and innovation
Value For Money
At Dr. Kathuria's Dentistry, we prioritize exceptional dental care that's transparent in pricing...
At Dr. Kathuria's Dentistry, we prioritize exceptional dental care that's transparent in pricing, ensuring affordability without compromising quality. Recognized for our commitment to providing great value for your investment, we offer accessible dental excellence for everyone, including tooth implant cost in Delhi and dental implant cost considerations. With our unwavering dedication to transparency, patients can trust in our services knowing they're receiving top-notch treatment without any hidden fees.
Our Expert Team To Serve You
Showing Our Expertise In Dental Implantology
Our Services And Cost Of Dental Implants
Single Tooth Implant
Starting ₹27,999
T&C Applied
Single Tooth Implant with Crown
Starting ₹37,999
T&C Applied
All-on-4 Implants (Per Jaw)
Starting ₹2,49,000
T&C Applied
All-on-6 Implants (Per Jaw)
Starting ₹2,99,000
T&C Applied
What Our Patients Say About Us
“Dr. Sween Kathuria and Puneet Kathuria was the best they gave me a new smile which I thought was impossible. At first I was scared but the process was mostly pain free. Thanks again for my smile make over It was all worth it. Now I can smile with confidence.”
“I had zoom whitening and a composite bonding for a gap closure at Dr. Kathuria’s Dentistry. I’d highly recommend this dental practice as they are very professional and efficient. I’d definitely return here for further treatment when I’m next in Delhi.”
“Got dental implants , teeth whitening, crowns and fillings done at Dr Kathurias. Everything was good and treatment was pain free. I think they have it right!”
“National Shooting Champion Balajee Singh at Dr.Kathuria’s Dentistry for his dental work. Dr.Kathuria’s Dentistry, wishes him the very best & all the success for his upcoming National & International events representing India in 10 m shooting events”
“Got Dental implants & Crowns done at Dr. Kathuria’s Dental Clinic. What impressed me the most was the professionalism & courtesy with the way the work was done”










